予防歯科
自費 保険
※金額は全て税込み価格です
| 種類 | 特徴・素材 | 料金 |
|---|---|---|
PMTC
|
|
約60分 15,000円 約30分 11,000円 |
| 前歯のむし歯治療 | 1本(3割負担) 約2,000円 |
|
| 歯石の除去 | 全体(3割負担) 約3,000円 |
|
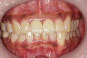
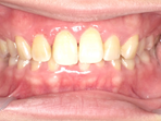
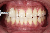
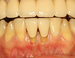
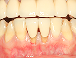
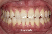
症例1
むし歯治療、歯石取り、ご本人のセルフケアによる症例
前歯のむし歯治療 1本 約2,000円(3割負担)
歯石の除去 全体 約5,000円(3割負担)
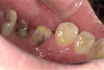
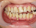
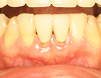
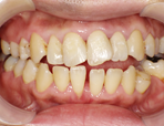
症例2
アジスロマイシン(抗菌薬)を服用しながら、歯石の除去、ブラッシング指導など通常の歯周病の治療による症例
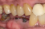
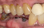
歯周病外科
自費 保険
※金額は全て税込み価格です
| 種類 | 特徴・素材 | 料金 |
|---|---|---|
|
歯周病外科治療 (歯周病の結合組織移植術)
|
|
110,000円 小手術基本料 33,000円 1歯 22,000円 |
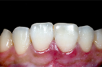
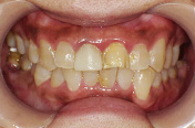
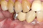
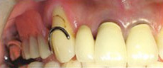
症例1
歯肉を移植することにより、健康な歯ぐきを回復させることができました
小手術基本料 33,000円
1歯 22,000円
自費 保険
※金額は全て税込み価格です
| 種類 | 特徴・素材 | 料金 |
|---|---|---|
|
エムドゲイン (歯周組織再生治療)
|
|
110,000円 小手術基本料 55,000円 1歯 22,000円 |
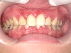
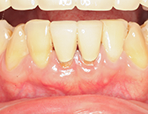
症例1
歯ぐきが赤く腫れ、排膿もあり、他院では抜歯が必要と診断されていましたが、菌を取り除いて薬剤を塗り、歯周組織を再生させました
小手術基本料 55,000円
1歯 22,000円
自費 保険
※金額は全て税込み価格です
| 種類 | 特徴・素材 | 料金 |
|---|---|---|
|
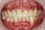
歯冠長延長術・ 歯肉弁根尖側移動術
|
|
55,000円 基本料 55,000円 1歯 22,000円 |
症例1
健康な歯を歯ぐきの上に出すことでブリッジをかけることができ、もう一度噛めるようになりました
基本料 55,000円
1歯 22,000円
自費 保険
※金額は全て税込み価格です
| 種類 | 特徴・素材 | 料金 |
|---|---|---|
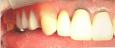
| 矯正的挺出 |
|
55,000円 |
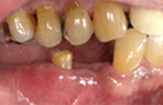
症例1
歯が少なく被せ物が入れられないため、他院で抜歯と診断されましたが、健康な歯を歯ぐきの上に持ち上げ、もう一度噛めるようになりました
小手術基本料 33,000円
1歯 22,000円
自費 保険
※金額は全て税込み価格です
| 種類 | 特徴・素材 | 料金 |
|---|---|---|
| 歯肉移植術 (FGG、CTG) |
|
1ヵ所 110,000円 |
| 歯槽堤増大術 (各種歯肉移植術) |
|
1ヵ所 110,000円 |
| 根面被覆術 |
|
1ヵ所 110,000円 |
セラミック治療
インレー(詰め物)
自費 保険
※金額は全て税込み価格です
| 種類 | 特徴・素材 | 料金 |
|---|---|---|
メタルインレー
|
|
保険適用 |
セラミックインレー
|
|
65,000円 |
ダイレクトボンディング
|
|
55,000円~65,000円 |
クラウン(被せ物)
自費 保険
※金額は全て税込み価格です
| 種類 | 特徴・素材 | 料金 |
|---|---|---|
レジン床
|
|
保険適用 |
|
オールセラミック クラウン (ジルコニア)
|
|
150,000円 |
| ピュアパールクラウン |
|
130,000円 |
コア(土台)
自費 保険
※金額は全て税込み価格です
| 種類 | 特徴・素材 | 料金 |
|---|---|---|
メタルコア
|
|
保険適用 |
| レジンコア |
|
保険適用 |
ファイバーコア
|
|
1歯 22,000円 |
セラミック治療の
保証制度について
半年ごとに定期検診に来院されている方は、5年以内に欠けた場合、無償で再治療をさせていただきます。
保証書も発行しておりますので必要な場合はスタッフまでお気軽にお声がけください。
セラミック治療の本数が多数の場合、ホワイトニング治療などをサービスする場合がございます。
気になる方はお問い合わせください。
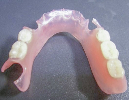
入れ歯
総入れ歯
自費 保険
※金額は全て税込み価格です
| 種類 | 特徴・素材 | 料金 |
|---|---|---|
レジン床
|
|
保険適用 |
|
金属床 (コバルトクロムプレート)
|
|
200,000円 ~ 385,000円 |
| チタン床義歯 |
|
385,000円 |
部分入れ歯
自費 保険
※金額は全て税込み価格です
| 種類 | 特徴・素材 | 料金 |
|---|---|---|
レジン床
|
|
保険適用 |
金属床
|
|
150,000円 ~ 380,000円 (歯の失い方による) |
|
ノンクラスプ (スマイルデンチャー)
|
|
150,000円 ~ 380,000円 (歯の失い方による) |
入れ歯治療の
保証制度について
5年以内に破折した場合は、
修理費用5,500円で修理可能です。
保証書も発行しておりますので必要な場合はスタッフまでお気軽にお声がけください。
矯正歯科
矯正装置
自費 保険
※金額は全て税込み価格です
| 種類 | 特徴・素材 | 料金 |
|---|---|---|
マウスピース型矯正装置
|
|
660,000〜990,000円 |
表側矯正
|
|
990,000円 |
部分矯正
|
|
要相談 |
床矯正
|
|
360,000円 |
- 歯並びや装置の種類により治療費用は異なります。
- 初診カウンセリングは1回目のみ無料で行っております。
歯並びでお悩みの方はお気軽にご相談ください。
小児咬合誘導
自費 保険
※金額は全て税込み価格です
| 特徴・素材 | 料金 |
|---|---|
| 検査・診断 (X線検査・模型分析等) |
33,000円 |
| 装置代 複雑なもの(拡大床、リンガルアーチ、FKO、チンキャップ) 単純なもの(クラウンループ、ハンドループ) |
1装置あたり 55,000円 33,000円 |
| 調整代 咬合誘導料金以外に3~4週間に一度、チェック料として別途必要となります。 |
5,500円 |
小児咬合誘導はこれらを合計し、永久歯が生え揃うまでの総額として約10~30万円かかります。
(歯並びにより個人差があります。)
装置紛失の場合には10,000~20,000円いただきます。
小児矯正
自費 保険
※金額は全て税込み価格です
| 特徴・素材 | 料金 |
|---|---|
| 検査・診断 (X線検査・模型分析等) |
33,000円 |
| 矯正費用 (拡大装置による) |
363,000円 |
| 調整代 3~4週間に一度、調整代・クリーニング代として別途必要となります。 |
5,500円 |
| 保定装置代 | 55,000円 |
小児の矯正治療はこれらを合計し、矯正治療の総額として約30~40万円かかります。(※歯並びにより差があります。)
また、ブラケット装置を付けてキレイに並べる場合は別途40万円かかります。
成人矯正
自費 保険
※金額は全て税込み価格です
| 特徴・素材 | 料金 |
|---|---|
| 検査・診断 (X線検査・模型分析等) |
33,000円 |
| 矯正基本治療費用 歯並びやブラケットの種類により治療費用は異なります。 |
990,000円 (透明・白いワイヤー ・汚れがつかない) |
| 調整代 3~4週間に一度ご来院していただく際に、別途必要となります。 |
5,500円 |
矯正のための抜歯は1本につき5,500円かかります。
リテーナー(保定のための装置)代として、治療終了時に別途55,000円かかります。カード払い、分割が可能です。
| 種類 | 特徴・素材 | 料金 |
|---|---|---|
| コルチコトミー (片顎) |
|
55,000円 |
マウスピース型矯正装置
自費 保険
※金額は全て税込み価格です
| 特徴・素材 | 料金 |
|---|---|
| 矯正相談料 レントゲン写真、口の中の模型、顔や口の中の写真を撮る場合は保険治療の窓口負担がかかります。 |
0円(無料) |
| 光学スキャン検査・診断料 口腔内スキャナーを使用し、お口の中の状態を各診療室にあるモニターですぐに映し出せます。治療前後の状態などご自身の目でご確認いただけます。 |
33,000円 |
| 基本料金 軽度の部分矯正(前歯のみの審美的な改善) 治療期間:約半年間 |
770,000円 |
| 上下顎の全顎矯正(インビザライン) 治療期間:約半年~1年半 |
990,000円 |
| 光加速矯正装置 治療期間:約3/4に短縮 |
110,000円 |
| 矯正管理料 写真撮影およびチェック |
月に1回 5,500円 |
| 保定装置料(上下リテーナー) 矯正治療後、歯並びを安定させ、後戻りを防ぐための装置です。 |
55,000円 |
ホワイトニング
自費 保険
※金額は全て税込み価格です
| 種類 | 特徴・素材 | 料金 |
|---|---|---|
| ホームホワイトニング |
|
33,000円 (専用ジェル2本付き) 専用ジェル単体購入の場合 1本 3,300円 |
| オフィスホワイトニング |
|
33,000円 |
ホワイトニングを
ご希望の方へ
- ホワイトニングをする前に、むし歯の治療やクリーニングを行うことがあるため、希望するタイミングで施術を受けられない場合があります。
- ホワイトニング効果は永久ではありません。コーヒー、お茶、ジュース、タバコなどによって着色してしまうことがあります。
- 患者様の体質や、ホワイトニングに適さない歯がある場合など、施術をお断りさせていただくことがあります。
特別割引
- オフィスホワイトニングを半年以内に2回行いたい方
- オフィスホワイトニングとホームホワイトニングを両方行いたい方
66,000円 → 60,000円
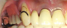
インプラント治療
治療の流れ
自費 保険
※金額は全て税込み価格です
| 種類 | 特徴・素材 | 料金 |
|---|---|---|
CT検査・診断
|
歯科用CTを用いてインプラントを埋め込む位置や骨の状態を把握し治療方針を決めます。 | CT撮影・診断料 44,000円 |
| ガイド代 | 歯ぐきを切開せずにインプラントを埋入できる、ノーベル社独自のガイドシステムです。 術前のデジタルシミュレーションと専用のガイドテンプレートを活用することで、精確な埋入と低侵襲な手術を可能にし、患者さまの負担を大きく軽減します。 |
45,000円 |
|
インプラント手術 (1回目)
|
歯の根っことなるインプラント体を顎の骨に埋入します。 | 1本 165,000円 |
|
インプラント手術 (2回目)
|
インプラント体の骨結合が確認でき次第、歯肉を切開し、アバットメントを連結します。 | 110,000円 |
|
型取り・被せ物の装着 (セラミッククラウン)
|
土台の上に被せ、咬み合わせに問題がないかなど細かく調整します。 | セラミッククラウン (人工歯) 110,000円 |
メンテナンス
|
数ヵ月に1度来院いただき、咬み合わせや口腔内の状態をチェックします。 | 5,500円 |
オプション
自費 保険
※金額は全て税込み価格です
| 種類 | 特徴・素材 | 料金 |
|---|---|---|
サイナスリフト
多くの骨を補わなくてはいけない場合に適応 |
|
110,000円 |
ソケットリフト
増やす骨量が比較的少ない場合に適応 |
|
55,000円 |
|
GBR (骨再生誘導法)
十分な骨がない場合に人工骨を使用して増生する処置 |
|
110,000円 |
インプラント治療の
保証制度について
インプラント埋入から5年間は、再度埋入が必要になった場合も費用はかかりませんのでご安心ください。
保証書も発行しておりますので必要な場合はスタッフまでお気軽にお声がけください。
麻酔・鎮静法
医療法人社団健晃会では、院長以上の歯科医師は全員、麻酔や全身管理に関するトレーニングを終了し、高いレベルの歯科治療を提供することができます。
麻酔の専門医が、静脈内鎮静法を行うことで、患者様は夢心地で治療が受けられます。
深い鎮静を希望する患者様が多いため、術中は細心の注意を払って血圧や脈拍、酸素レベルをモニタリング しています。それにより、さらに麻酔レベルを深くするか浅くするべきかを判断することができます。
医療法人社団健晃会ではのべ500名以上の患者様がこの静脈内鎮静によりインプラントなど緊張を伴う口腔外科治療を乗り越えています。
自費 保険
※金額は全て税込み価格です
| 種類 | 特徴・素材 | 料金 |
|---|---|---|
| 表面麻酔 | 麻酔の注射に際して、毎回必ず「塗る麻酔」を使用しています。塗る麻酔薬によって、注射を刺すときのチクっとくる緊張感と痛みを和らげます。また、どのような麻酔であってもできるだけ痛みを抑えるように、なるべく、ゆっくりと薬を注入しています。 | 毎回 0円(無料) |
| 静脈内鎮静法 | 治療中になるべく深い鎮静を得たい患者様に麻酔専門医が提供している鎮静法です。最も確実に鎮静を得ることができ、また点滴を入れる静脈から抗生物質・鎮痛薬・ビタミンなど、様々な薬を用いることができるため、術後の治癒も促進することができる麻酔法です。 90%以上の患者様が睡眠と同じ鎮静感覚を得ることができ、楽だった、恐くなかったという感想となります。患者様の快適度、費用、確実性、安全性の面から、埋伏抜歯やインプラント時などに最も選ばれている鎮静法です。 |
1時間 60,000円~80,000円 |
その他治療
自費 保険
※金額は全て税込み価格です
| 種類 | 特徴・素材 | 料金 |
|---|---|---|
| 睡眠時無呼吸症候群 | 睡眠中に何度も呼吸が止まったり、呼吸が浅くなり体が低酸素状態になる病気です。 ◆提携している睡眠クリニックで、睡眠検査を行います。 |
保険適用のスリープスプリントと 保険外があるため要相談。 |
| 口臭治療 | 一時的に口臭が強くなる生理的なものや、口の中の異常・心理的な口臭などもあります。 ◆唾液検査を行い、主に歯周病治療を行います。 |
5,500円 |
スポーツマウスガード
|
スポーツでの激しい衝撃や強い力から歯や顎を守り、口への外傷を防ぐ役割を果たします。 ◆歯型を取りスポーツマウスガードを製作します。 |
50,000円 ~ 100,000円 |
顎関節症
自費 保険
※金額は全て税込み価格です
| 種類 | 特徴・素材 | 料金 |
|---|---|---|
| スプリント療法 | マウスピースを装着し、歯ぎしりや食いしばりを軽減し、顎関節症の症状を改善する治療法です。 | 保険適用 |
| 咬合調整 | 咬み合わせの調整を行います。 | 5,500円 |
医療費控除
医療費の控除について
医療費控除とは、納税者がご自身やご家族のために支払った医療費が年間10万円を超える場合、確定申告時に「医療費控除」として申告すると税金の一部が還付される制度です。
治療や通院をする回数が増えると治療費等の負担額が増えてしまいますが、医療費控除を申告することで患者様の経済的な負担を減らすことができます。
対象となる歯科治療
歯科医院で支払った保険適用の治療費だけでなく、インプラントや矯正治療などの保険適用外の治療費(治療に必要な装置代、処置代、調整費など)も含まれます。
しかし、治療の必要がない銀歯をオールセラミックに変えるなど、見た目の改善のみを目的で行った場合の治療費は医療費控除の対象外となりますので、治療の際はそれぞれの条件をカウンセリング時にお伝えさせていただきます。
医院から受け取った書類や領収書、通院にかかった交通費の領収書などは申告の際に必要になりますので、すべて大切に保管してください。
- 通院にかかった交通費は、付き添い人のものも含めて控除の対象になりますが、自家用車のガソリン代などは含まれません。
デンタルローンについて
「アプラス デンタルローン」とは、新生銀行グループ 株式会社アプラスがお客様に代わって治療費を歯科医院に立替払いするローン契約です。
- お客様のご希望に合わせた分割によるお支払いプランをお選びいただけます。
- 「アプラス デンタルローン」はお客様の歯科治療をサポートします。
- WEBでのお申込みにご印鑑・収入証明・身分証明は不要です。
- 医療費控除が受けられます。
- デンタルローンご利用金額すべてが医療費控除の対象となります。(医療費控除の金額には上限があります)
- Tポイントが貯まります。
- デンタルローンご利用金額200円につき1ポイント貯まります。
注意事項
- 当社所定の審査がございます。
- デンタルローンはアプラス加盟歯科医院でのみご利用が可能です。
- お申込み内容および他のご利用状況によりましては、ご希望に添いかねる場合や、条件の一部変更をお願いする場合がありますのでご了承ください。なお、審査結果の詳細につきましてはお答えできませんので、あらかじめご了承のうえ、お申込みください。
アプラス「デンタルローン」で「Tポイント」が貯まります!「デンタルローン」ご利用金額200円につき1ポイント!
(例)「デンタルローン」を1,000,000円ご利用の場合 Tポイント5,000ポイントが貯まります!
「アプラス デンタルローン」の他にエポスの「エポスデンタルローン」もご利用いただけます。詳しくは下のバナーからご確認ください。
デンタルローン例
| 契約内容 | 契約金額 | 支払い 回数 |
月々の 支払額 |
|---|---|---|---|
| ジルコニアクラウン + ファイバーコア |
119,000円 | 12回 | 10,400円 |
| セラミッククラウン + ファイバーコア |
131,000円 | 12回 | 12,300円 |
| セラミック インレー |
55,000円 | 12回 | 5,000円 |
| デュアル ホワイトニング |
55,000円 | 12回 | 5,000円 |
| CT/ガイド込み インプラント1本 |
450,000円 | 24回/ 60回 |
21,400円/ 9,300円 |
| CT/ガイド込み インプラント2本 |
900,000円 | 24回/ 60回 |
42,900円/ 18,700円 |
| 成人矯正ワイヤー | 約800,000円 | 24回/ 60回 |
38,200円/ 16,600円 |
| インビザライン | 約900,000円 | 24回/ 60回 |
42,900円/ 18,700円 |
