メタルフリー素材は
こんな方にオススメです
金属アレルギーがある
歯に汚れや着色が付きやすい
むし歯の再発が心配
過去の詰め物・被せ物が
変色してきた
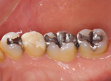
銀歯や金歯が目立って
気になる
治療痕が目立たない
治療がしたい
メタルフリー素材を選択することで、金属アレルギーの心配がなくなるだけでなく、より自然で美しい見た目を得られます。過去の治療跡が気になる方や、銀歯から白い歯への付け替えをお考えの方は、ぜひご検討ください。
なぜお口の中に
金属があるとよくないの?
金属アレルギーを
引き起こす可能性がある
歯科用金属は、口の中の唾液によって微量の金属イオンが溶け出すことがあります。それが体内に取り込まれることで、手足の湿疹やかゆみ、口内炎、頭痛などの金属アレルギーを引き起こすことがあります。原因が長年わからなかった皮膚炎が、実は歯の金属によるものだったというケースも少なくありません。
メタルタトゥーが起こることがある
金属イオンが歯ぐきに沈着すると、歯ぐきが黒ずむ現象が起こることがあります。これは「メタルタトゥー」と呼ばれるもので、せっかく白い歯を治療しても、歯ぐきの色がくすんで見えてしまう原因となります。一度沈着した金属は自然には消えにくく、見た目の印象に影響を与えることがあります。
見た目と適合精度の問題
金属は時間の経過とともに酸化や変形が起こりやすく、歯とのあいだにわずかなすき間が生じることがあります。その隙間から細菌が侵入し、むし歯の再発を引き起こす原因となることもあります。また、金属は光を通さないため、天然歯のような透明感が得られず、審美面でも劣ってしまいます。
セラミックは
体にもやさしい選択肢です
セラミックは、金属アレルギーや歯ぐきの黒ずみの心配がなく、歯との適合性が高いことで、むし歯の再発を防ぎやすいという特長もあります。また、天然歯に近い硬さと弾性をもつため、自然な噛み心地を実現できます。こうした機能性が組み合わさることで、見た目の美しさだけでなく、日常生活の快適さやお食事の楽しみにもつながります。
当院のセラミック素材の種類
ジルコニア
5層のレイヤーのグラデーションがついた自然な色調です。
金属を一切使用しないメタルフリー素材です。

特長
- 天然歯に近い透明感
- 長期的に美しさを保てる
- 金属アレルギーの心配がない
- 審美性も高く、自然な色調を実現
ピュアパール
「人工ダイヤモンド」とも呼ばれるほど高い強度を持つ素材。
奥歯への使用にも適しています。

特長
- 強い力がかかる部位にも適している
- 金属アレルギーの心配がない
- 透明感はジルコニアよりやや劣る
当院のセラミック治療の特長
ダイレクトボンディング
ダイレクトボンディングは、歯に直接レジン(修復用プラスチック)を盛り付けて形や色を整える治療法です。歯を削る量を最小限に抑えられるため、健康な歯質をできるだけ残すことができます。また、周囲の歯に自然に調和する仕上がりや、変色しにくく高い耐久性を持つことも特長です。当院では、豊富な実績と高い技術力をもつ歯科医師が担当し、美しく自然な歯を再現いたします。
こんなお悩みは
ダイレクトボンディングで解消!
詰め物の変色が気になる
前歯の隙間をなくしたい
なるべく歯を削らずに治療したい
金属の詰め物が目立つ
欠けた歯を修復したい
国産にこだわった技工物
詰め物や被せ物は、お口の中に長く入るものだからこそ、品質には特別なこだわりを持って厳選しています。当院では、保険診療・自費診療を問わず、すべての補綴物を信頼できる国内の技工所と密に連携しながら製作しています。これにより審美性と適合性の高いセラミックの装着が実現します。
セラミック治療の保証制度
当院では、セラミック治療後に半年ごとのメインテナンスに通っていただくことを条件に、5年間の保証制度を設けています。万が一、セラミックが欠けたり外れたりした場合には、無償で再治療を行います。保証書も発行しておりますので、詳細はスタッフまでお気軽にお尋ねください。
